Стелара при псориазе положительно зарекомендовала себя среди всех препаратов, применяемых при этом заболевании. Отзывы на уколы Стелара при псориазе демонстрируют его высокую эффективность у пациентов с различными формами заболевания.

Уколы от псориаза Стелара
Уколы Стелара от псориаза представляет собой раствор для инъекций светло-желтого или белого цвета. Допускается присутствие в растворе белковых частиц. Основное действующее вещество препарата – устекинумаб. Оно представляет собой моноклональные антитела при псориазе, схожие на собственные человеческие антитела. Препарат обладает иммунодепрессивным средством. Принцип его действия основан на угнетении выработки организмом белков, которые стимулируют образование клеток кожи и провоцируют воспалительный процесс.
Показания для применения Стелара при псориазе – умеренные и тяжелые формы заболевания. Производитель в инструкции отмечает, что лечение бляшечного псориаза препаратом Стелара – основное показание к применению средства.
Стелара при псориазе имеет противопоказания. Препарат нельзя принимать тем пациентам, которые страдают повышенной чувствительностью к устекинумабу, имеют тяжелые активные формы инфекционных заболеваний, больны онкологическими болезнями. Также запрещена Стелара Устекинумаб беременным женщинам и детям до 18 лет.
Стелара имеет сертификат Федерального агентства по техническому регулированию и метрологии, поэтому его применение на территории России разрешено.

Отзывы на Стелара при псориазе
Стелара на форуме больных псориазом активно обсуждается уже несколько лет. Отзывы на уколы Стелара при псориазе в большинстве случаев положительны:
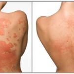
- Александр, 46 лет, Москва. Несколько лет назад врачи поставили диагноз вульгарный псориаз, который возник по причине метаболических изменений в организме. Лечившись многими препаратами, я не мог добиться длительной ремиссии. После инъекции Стелара стали заметны существенные улучшения. Состояние кожи на видимых частях тела быстро улучшилось, благодаря чему я перестал комплексовать на работе. Существенно снизился кожный зуд, я могу нормально спать, меня больше не раздражает одежда. Считаю, что Стелара отлично справляется с псориазом – уже более года я не применяю других препаратов от псориаза.
- Ирина, 25 лет, Киев. Псориазом болею с детства. Раствор Стелара посоветовала мой врач-дерматолог. Купила препарат недавно, уколы делала только два раза, поэтому определенного ничего сказать не могу. Существенных улучшений еще нет, но врач сказала, что необходимо сделать хотя бы пять инъекций. Буду надеяться, что именно Стелара поможет мне избавиться от болезни.
- Георгий, 43 года, Новосибирск. Препарат Стелара купил в прошлом году. Всего за 6 инъекций мой давно мучивший меня псориаз практически исчез. Конечно, следы на коже видны, но на ней уже нет этих ужасных корок, воспаленных участков, раздражения. Я благодарен своему врачу, который посоветовал купить Стелару. Эти инъекции стали для меня настоящим спасением, ведь более двадцати лет я не мог избавиться от псориаза.
- Елена, 21 год, Санкт-Петербург. Псориазом страдаю последние семь лет. Родители прикладывали все усилия, чтобы вылечить меня от псориаза, но особых успехов я не замечала – при незначительной ремиссии заболевание одолевало вновь. Описание Стелары нашла на форуме больных псориазом, на котором я недавно зарегистрировалась. Поскольку отзывы положительные, я тоже заказала Стелару. Пока сделана одна инъекция, буду смотреть на дальнейшую динамику. Очень хотелось бы избавиться от заболевания как можно быстрее.
- Игорь, 35 лет, Екатеринбург. Препаратом Стелара от псориаза пользовался по рекомендациям врача. К хвалебным отзывам присоединиться не могу, поскольку Стелара не дала ожидаемого эффекта, буду искать другие препараты для лечения.
- Оксана, 54 года, Нижний Новгород. Псориаз у меня обострился на фоне климакса. Раньше меня болезнь так не донимала, поэтому я смотрела на лечение сквозь пальцы и не старалась что-либо делать. Но последние годы были просто ужасными – все симптомы усилились в разы, а привычные препараты уже не справлялись с заболеванием. Муж нашел в интернете препарат Стелара, решила попробовать и не зря. Именно со Стелара я практически избавилась от псориаза. Теперь жалею, что не воспользовалась им раньше и мучилась столько лет.

Инструкция по применению Стелара при псориазе
Инструкция по применения Стелара сообщает, что существенные улучшения можно заметить уже к 28 неделе использования средства. Если к этому времени симптоматика заболевания не ослабится, врач рассмотрит вопрос, применять уколы Стелара при псориазе или нет – возможно, понадобится сменить лекарственное средство.
Первая инъекция препарата 45 мг вводится на фоне относительного здоровья пациента. Он не должен болеть простудой, тяжелыми хроническими инфекциями, женщинам необходимо предохраняться от беременности. Вторая инъекция препарат делается через четыре недели, а следующие уколы от псориаза делают каждые двенадцать недель.
Цена и аналоги препарата Стелара
Поскольку купить уколы от псориаза Стелара имеют возможность не все, пациентов интересуют аналоги Стелара – такие препараты, как правило, стоят намного дешевле. Среди аналогов врачи могут посоветовать препараты Иларис, Зенапакс, Дермафлуцин, Гламетазон, Ремикейд. Эффективен и Метотрексат при псориазе, но он также ослабляет иммунитет.

Цена на уколы от псориаза Стелара довольно высока по сравнению с другими препаратами. Цена в России на Стелара колеблется в районе 180 тыс. руб. за флакон, а купить Стелара в Украине можно в среднем за 70 тыс. грн. Цена Стелара в Москве может существенно отличаться. Есть аптеки Москвы в которых стоимость Стелара доходит до 228 тыс. руб. С целью экономии препарат можно заказывать в интернет-аптеках.
Мои источники:
Плейлист видео про псориаз (выбор видео в правом верхнем углу)
Поделиться с друзьями:








Это самые дорогие уколы от псориаза которые мне выписал врач, решаюсь пока.
На флакон мне 9 месяцев придётся работать, а на что жить при моей зарплате?
Теперь лежу возле мусорки с чистой кожей без псориаза, ведь дома у меня уже нет, так как его пришлось продать что бы купить это лекарство, ну ничего на улице тоже можно жить, главное что теперь без псориаза.
Прошел полный курс из 4 уколов, истратил около 1 млн рублей. В течении года что шел курс кожа полностью очистилась. После последнего укола псор вернулся.
Могу продать инъекцию или две за пол цены.
если у вас инвалидность была бы то вам бы её бесплатно далибы
Два года пожила без псориаза, вернулся снова)
Лечусь в Германии уже 10 лет, делаю каждые 4 месяца 1 укол. Стелара для псориатиков, как инсулин для диабетиков, колоть до конца жизни нужно.
Есть пара инъекции. Могу продать. Трудное положение в семье.
Могу заверить вас на личном примере. Я сделала две инъекции результат супер. 9 мая муж умер думала всё на нервах разнесет, но прошло пол года ни следа. У меня положение тяжелое 3 детей. Могу продать 1 может 2 дозы за пол стоимости
Стелара это супер лекарство от псориаза. Сделал только два укола по федеральной программе. Ушёл зуд, исчезли бляшки, забываю про мази. Лекарство отличное, но очень дорогое. Четыре укола на курс стоят 1000000 рублей. А говорят здоровье за деньги не купишь. По федеральной программе делают бесплатно. Всем здоровья.
Здравствуйте. У меня вопрос. Делаю укол два года. Конечно почти весь псориаз ушел. Главное вовремя уколоть. Пытаюсь через 2 с половиной месяца иначе появляется. Я за последние два года поправилась почти на 15 кг. Врачи толком не говорят от этого укола или нет. Кто делает этот укол напишите Вы не поправляетесь?
У меня остались уколы стелара 45 мг могу продать.
Здравствуйте у вас есть еще укол на продажу? И какая цена?
Добрый день.
Есть 4 укола препарата.
если кому нужен напишите на segr1970@gmail.com
есть 4 укола препарата
если кому нужен, напишите на адрес
segr1970@gmail.com